VAUGHAN

905-832-3264

WHITBY

905-425-4253

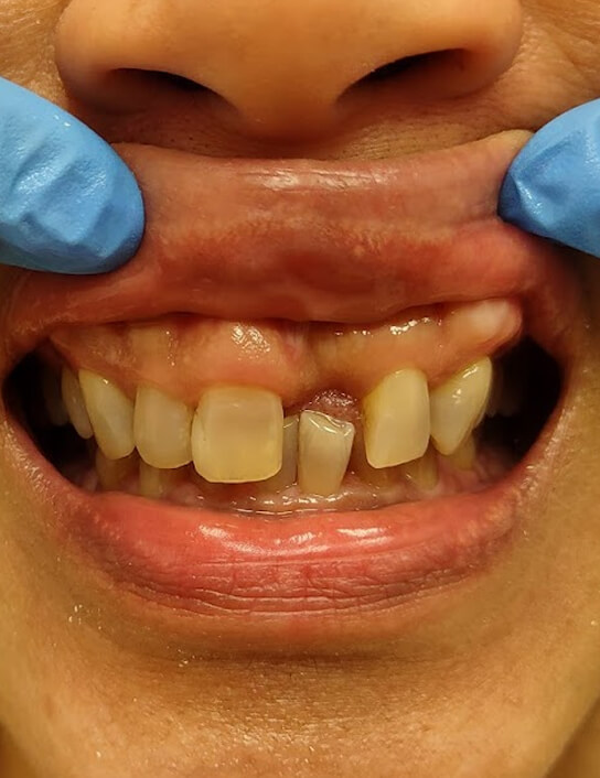
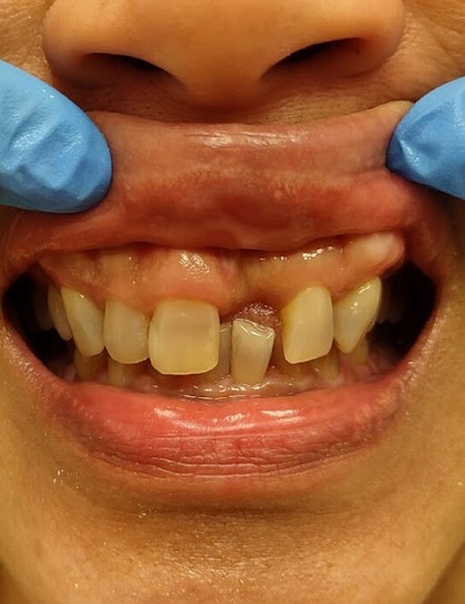
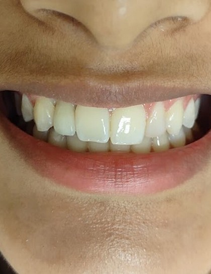
Missing Teeth Replacement Gallery

Smile, eat, and speak with ease again; see the dramatic results that missing teeth replacement can achieve.

SCHEDULE A CONSULT