VAUGHAN

905-832-3264

WHITBY

905-425-4253

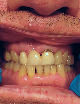
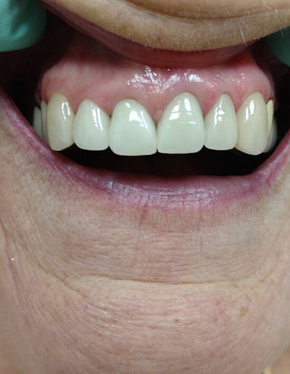
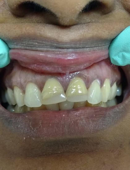
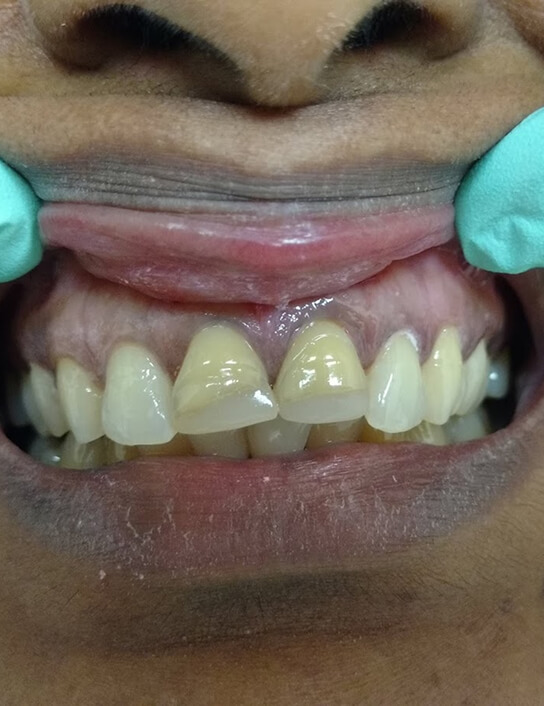
Crowns Gallery

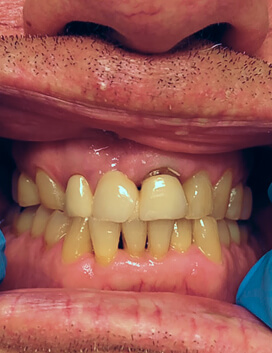
See how our dental crowns restore broken, worn, or discolored teeth, creating a strong, natural, and beautiful smile.

SCHEDULE A CONSULT